128 Nixon St Shepparton
(03) 5831 1282
Fax (03) 5831 8192
Home | How to maintain your new smile

A smile is forever - after care | Orthodontists | Shepparton

When teeth have been moved orthodontically they have a natural tendency to return to their original positions.  This is called relapse. Retainers are used to hold your teeth in their new position and prevent relapse. Wearing a retainer is a vital part of your treatment. This is your insurance policy for your investment in your braces. It is important that you return to our orthodontic practice as scheduled so we can advise you on how often to wear your retainer.

Always bring your retainer with you to appointments - ideally in your mouth!

Types of Retainers

Removable

removable

These can be clear plastic or coloured hard plastic with wire. The orthodontist will advise you on how to wear these retainers to best protect your new smile.

Remember, the retainer only works if it is worn properly.  If the wire, glue, or removable retainers feel different or break; call the practice on (03) 5831 1282 for an appointment.

 

 

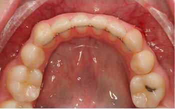
Fixed Retainers

Lingual wire

Where possible, we place a fixed retainer on the lower teeth. This is called a lingual bond.

This requires a wire to be bonded on the inside of the lower front teeth.

Contact us

Hours:*
Mon-Fri 8:30 am - 5:00 pm

128 Nixon St
Shepparton Vic

(03) 5831 1282
Fax (03) 5831 8192

info@gvorthodontics.com.au

Goulburn Valley Orthodontics is located in Shepparton and specilises in orthodontic treatment for a beautiful smile - Family orientated

Our Orthodontists

Dr Rob Mayne
Dr Ros Mayne
Dr Nicola Wong

Goulburn Valley Orthodontics

Designed by © 2025 SmartDentist
Feedback | Privacy policy | Terms and Conditions of site use | The use of links constitutes acceptance of these terms and conditions.